Retainertråd og retainerskinne (vivera)
- ⭐ 5/5-stjerners anmeldelser – pasientenes førstevalg
- Laveste pris i Kolbotn og Follo – kvalitet som alle har råd til
- Kveldsåpent – behandling som passer inn i din hverdag
- Over 12 års erfaring med korttidstannregulering og etterbehandling
- Komfort i #TannSpa-omgivelser – en behagelig behandlingsopplevelse
Hva våre kunder sier om oss
Laveste priser på Kolbotn
Bedøvelse
fra 135kr
Røntgenbilde
fra 117kr
Fylling, 1 flate
fra 810kr
Undersøkelse, røntgen, puss og rens
fra 1080kr
Tanntrekking
fra 1250kr
Krone, ikke import - lokal produksjon
fra 6920kr
Tannimplantat, kjevedel
fra 9870kr
Tannimplantat, tyggedel krone
fra 12260kr
Laveste priser på Kolbotn
Åpningstider
Mandag
08:00 – 16:00
Tirsdag
08:00 – 16:00
Onsdag
08:00 – 16:00
Torsdag
08:00 – 16:00
Fredag
08:00 – 16:00
Retainertråd og retainerskinne – Langvarig forankring av tennene etter regulering
Etter en behandling med korttidstannregulering er det avgjørende å stabilisere tennene i sin nye posisjon for å unngå at de flytter seg tilbake. Dette gjøres ved hjelp av én eller begge av følgende metoder: retainertråd eller retainerskinne (også kjent som Vivera).
Har du allerede gjennomgått tannregulering – enten ordinær eller korttids? Kanskje det har gått en stund, og du har lagt merke til små endringer i tannstillingen din? Ikke vent til det blir et større problem! Ta kontakt med oss i dag for en vurdering og hjelp til å sikre smilet ditt.
Vi hjelper deg med å holde resultatene fra tannreguleringen på plass – fordi et vakkert smil fortjener å vare livet ut. Bestill en konsultasjon nå, og ta det første steget mot å beskytte tannstillingen din.
Retainertråd og retainerskinne (Vivera) – Slik bevarer du resultatet etter tannregulering | Kolbotn Tannklinikk
- Retainertråd og retainerskinne (Vivera) benyttes for å sikre tennene i ny posisjon etter at du er ferdig med tannregulering, slik at de ikke flytter på seg igjen.
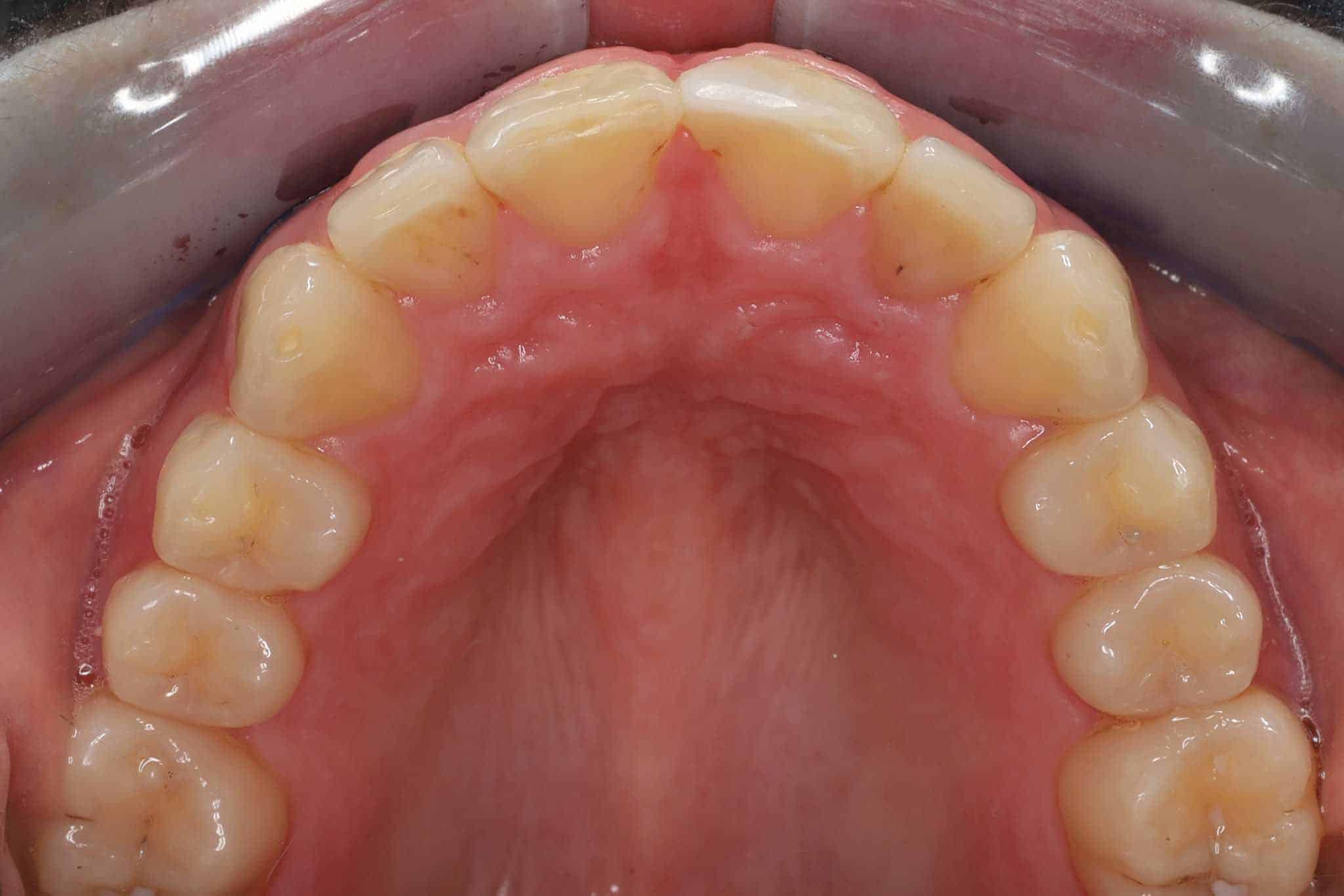
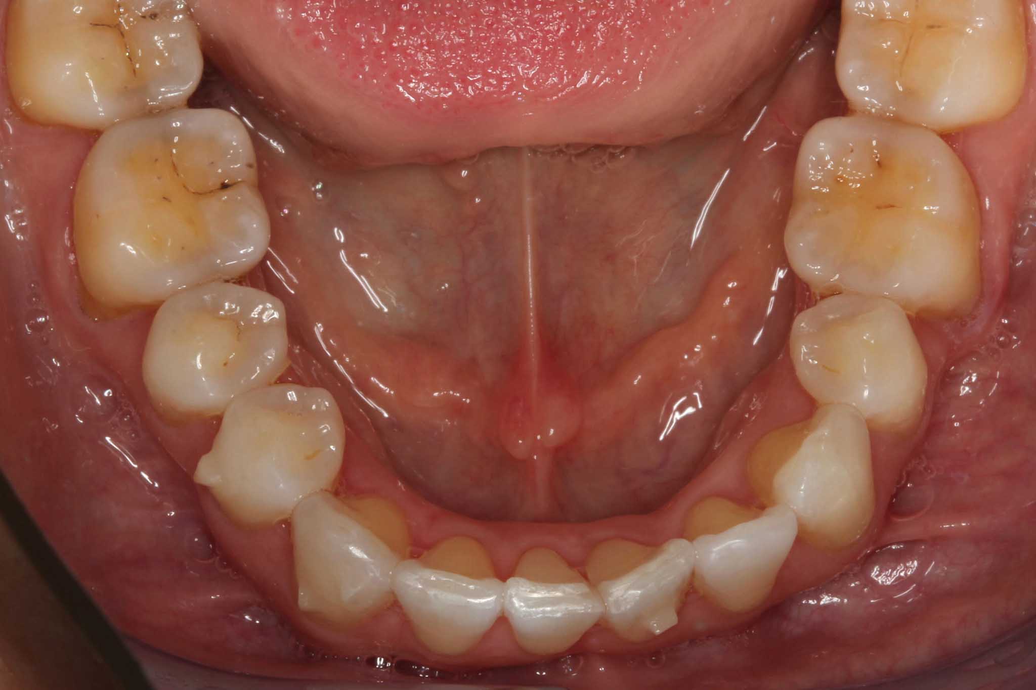
- Retainertråd er en fast (ikke-avtagbar) løsning, bestående av en metallstreng som festes diskret bak fortennene og hjørnetennene.
- Retainerskinne (Vivera) er en avtagbar og gjennomsiktig plastskinne, som gjerne brukes om natten for å stabilisere tennene den første tiden.
- God munnhygiene er avgjørende, spesielt ved retainertråd som krever bruk av spesialtanntråd og ekstra nøye pussing.
- Mulige ulemper inkluderer at metalltråden kan løsne og må limes på nytt, eller at plastskinnen kan slites ved hard bruk.
- Begge løsningene gir god stabilitet på lang sikt, men retainertråd er ofte førstevalget; retainerskinne kan være et godt supplement i den innledende fasen, eller som nattlig støtte videre.
Retainertråd og retainerskinne
Forankring av tennene – Hvorfor retainer er avgjørende etter regulering
Forankring av tennene er prosedyren noen eller alle tenner låses i sin posisjon slik at disse ikke flytter på seg. I tiden etter en korttidstannregulering, eller ordinær tannregulering, vil det ta tid før kjevebenet stabiliserer seg rundt tennene og i denne perioden er det større fare for at tennene flytter på seg. Slik forflytning vil kunne skje senere også, og det er derfor viktig å låse tennene slik at det ikke skjer.
Bruksområde, fordeler, ulemper og utfordringer
Når passer retainertråd og retainerskinne?
- Etter avsluttet tannregulering: Både retainertråd og retainerskinne brukes for å holde tennene stabile i sin nye posisjon og hindre at de beveger seg tilbake (tilbakefall).
- Ved høy risiko for tilbakefall: Retainertråd egner seg godt når tennene tidligere har vært sterkt rotert eller trangstilte, da den gir konstant passiv stabilisering.
- For dem som ønsker fast løsning: Retainertråd er ideell for pasienter som ønsker en løsning man ikke trenger å ta av og på.
- For pasienter med god rutine for bruk: Retainerskinner (gjennomsiktige plastskinner) passer godt for pasienter som er flinke til å følge anbefalt bruk, ofte om natten.
Ofte brukes en kombinasjon: fast retainertråd og en avtakbar skinne om natten for best mulig langtidsstabilitet.
Slik velger du mellom retainertråd, retainerskinne (viveraskinne): fordeler og ulemper
Retainertråd
Fordeler med retainertråd – Diskret, fast og effektiv stabilisering
Er en sikker og solid metode for å forankre tennene. Så lenge det ikke er noen mellomrom mellom tennene vil metalltråden ikke synes så lett
Ulemper og utfordringer med retainertråd – Hygiene og vedlikehold
Den eneste ulempen retainertråd har er at den er ikke estetisk, i de tilfeller den synes.
Ved valg av feil materiale (elastisk), vil denne kunne tillate bevegelse mellom tennene og vil miste sin funksjon.
Utfordringer
Munnhygiene er eneste utfordringen ved bruk av retainertråd. Ordinær tanntråd vil ikke være mulig å bruke. Til slike forhold anbefales det å bruke tanntråd beregnet på regulering og tannbroer.
Det anbefales også å pusse området der retainertråden er festet godt, for å unngå oppbygging av plakk (belegg) og tannstien. Solobørste kan anbefales.
Retainerskinne (viveraskinne)
Fordeler med retainerskinne – Estetisk og avtakbar nattløsning
Fordelen ved en retainerskinne er at den er estetisk og er avtagbar. Det gir mulighet til å regulere bruk etter omstendigheter dersom nødvendig.
Ulemper med retainerskinne – Slitasje og levetid
En retainerskinne er laget av tynn plast. Den vil derfor ikke tåle mye og kan gå i stykker ved feil bruk eller ved sterk attrisjon (tanngnissing) eller tannpressing.
Utfordringer
Det er ingen utfordringer ved retainerskinne.
Kombinasjon av tråd og skinne – Maksimal langtidsstabilitet
Den beste løsningen er en kombinasjon av tråd og skinne. Retainertråd beholdes hele livet, mens retainerskinne benyttes minimum i ett år og gjerne lengre dersom mulig.
Behandlingsalternativer og prognose
Hva er retainertråd, retainerskinne (viveraskinne)?
Det finnes to metoder til å forankre tennene dine – retainertråd og retainerskinne.
Retainertråd – Slik fungerer den og monteres
Retainertråd er en metallstreng som festes bak på fortennene og hjørnetennene. Strenger kobler tennene sammen slik at disse ikke flytter på seg. Det er viktig at denne tråden er av ikke-elastisk materiale og at den festes godt på tennene.
En retainertråd gjør rengjøring rundt og mellom tennene vanskeligere. Det er derfor avgjørende at gode munnhygienerutiner etableres, eller opprettholdes, slik at karies (tannråte/hull), plakk (belegg) og tannstein ikke dannes.
Retainerskinne (Vivera) – Gjennomsiktig og tilpasset
Retainerskinne, også kjent som Vivera, er en klar og gjennomsiktig plastskinne, som er laget etter tennenes avstøpning. Plastskinnen brukes i en periode etter tannreguleringen, om nettene. Ved å gjøre dette forankres tennene ytterligere i den initiale fasen av stabiliseringen. Plastskinnene kan bli slitt over tid og bør forventes å skiftes ut fra tid til annen.
Prognose – Hvor lenge varer resultatene?
Begge løsningene har god prognose.
En retainertråd stabiliserer tennene bedre enn en retainerskinne, og er derfor førstevalget.
En retainerskinne er ekstra forankring som er nyttig i den første perioden, opptil ett år, etter endt korttidstannregulering.
Smerte og ubehag
Er behandlingen smertefri? – Komfort med retainerløsninger
Det er ingen smerte eller ubehag forbundet med prosedyrene.
Behandlingstid og -forløp
Behandlingstid og prosess – Fra avtrykk til ferdig resultat
En retainertråd vil kreve to besøk.
- Første time til avtrykk, med et tidsforbruk på ca. 30 minutter
- Andre time til å feste retainertråden, med opptil 50 minutter til å feste denne.
En retainerskinne vil også trenge to besøk.
- Første time til avtrykk, med et tidsforbruk på ca. 30 minutter
- Andre time til å prøve og utlevere disse
Oppfølging og etterkontroll
Oppfølging og vedlikehold – Slik holder du retaineren i topp stand
Retainertråd
Retainertråd trenger lite oppfølging og etterbehandling. Fra tid til annen vil det kunne hende at denne frakturerer eller løsner i sin feste ved enkelte tenner. Ved sistnevte limes den på nytt. Ved fraktur vil det være nødvendig å lage en ny retainertråd.
Retainerskinne
Retainerskinne trenger heller ingen oppfølging eller etterbehandling. Disse vil kunne bli slitt eller ta til seg farge og bør forventes å byttes ut et par ganger i året.
Slik utfører vi retainerbehandling hos Kolbotn Tannklinikk
Hos Kolbotn Tannklinikk har vi lang erfaring med etterbehandling etter tannregulering, og vi tilpasser alltid retainerløsningen til dine behov. Før vi starter, gjør vi en grundig vurdering av tannstillingen og risikoen for tilbakefall. Deretter velger vi sammen med deg om det er best med retainertråd, retainerskinne eller en kombinasjon av begge. Selve prosessen er rask og smertefri, og vi gir deg tydelige instruksjoner for rengjøring og bruk. Vi følger deg også opp med jevnlige kontroller for å sikre at løsningen fungerer optimalt over tid. Vårt mål er at du skal beholde resultatet fra tannreguleringen livet ut – på en trygg, komfortabel og forutsigbar måte.
TEKSTFORFATTER
Tannlege Jasdeep Ohri
Har du noen spørsmål om temaet? Trykk her for å sende en epost til tekstforfatteren.
Tannlegeskrekk – og hvorfor retainertråd og retainerskinne kan være et trygt valg
Mange med tannlegeskrekk forbinder tannbehandling med smerte eller ubehag, men behandling med retainertråd eller retainerskinne er både enkel og helt smertefri.
Hos Kolbotn Tannklinikk tar vi oss god tid til å forklare prosessen, slik at du vet nøyaktig hva som skal skje. Selve prosedyren innebærer ingen boring eller kirurgi – kun avtrykk og forsiktig tilpasning. For deg som gruer deg, tilpasser vi tempoet, tar pauser ved behov og sørger for at du føler deg trygg hele veien.
Mange pasienter med tannlegeskrekk opplever denne behandlingen som en positiv og uproblematisk opplevelse – og et godt steg på veien mot større trygghet hos tannlegen.
Tannleger som tilbyr retainerløsninger i Kolbotn og Follo
Anna Haugen
- Lavest pris
- Tilbyr all generell tannbehandling
Uzma Shabir
- Lavest pris
- Tilbyr all generell tannbehandling
Jasdeep Ohri
- 22år + i erfaring
- Høyere prisklasse
- Tilbyr all generell tannbehandling
- Spisskompetanse: Estetisk tannbehandling, Slitasje- og syreskader, Tannimplantatbehandling
Les mer om våre tannleger
Junior vs. senior tannlege – Hva bør du velge?
Junior tannlege er våre tannleger som har mindre enn 12 år med erfaring. Disse tannlegene vil ofte være bedre oppdatert faglig, på et generelt grunnlag, og kunne utføre de fleste behandlinger innen rimelig tid.
Våre seniortannleger har mer enn 12 år i erfaring og jobber både raskere og mer effektiv. Disse tannlegene har lang erfaring og er ofte mer kompetent til å kunne håndtere kompliserte problemstillinger og behandlinger. Det er ikke uvanlig at en seniortannlege over årene utvikler større interesse, mer erfaring og derav bedre kompetanse innenfor enkelte type behandlinger fremfor andre.
Tannlege Anna Haugen: Effektiv, dedikert og familieorientert tannlege
Tannlege Anna Haugen er vår nyeste tannlege. Hun tok sin utdanning i Polen og har allerede i en alder av 26 år oppnådd mye innenfor faget. Som tannlege er Anna både målrettet, strukturert, dedikert og ambisiøs. På fritiden er hun svært familieorientert og verdsetter tid med familien, samt liker å holde seg aktiv på treningssenteret. Vi er sikre på hennes lidenskap for yrket og varme personlighet vil gjøre henne til et verdifullt tillegg til teamet vårt.
Tannlege Uzma Shabir: Rolig og estetikkfokusert tannlege i Oslo-området
Uzma er også blant våre nye tannleger. Uzma tok sin tannlegeutdanning ved Universitet i Oslo og begynte hos oss i 2023. Som tannlege oppleves Uzma som rolig og behagelig i sin opptreden, noe som gjør at pasienter føler seg godt ivaretatt. Uzma har et øye for estetikk og liker å jobbe med estetisk tannbehandling i tillegg til ordinær tannbehandling. På fritiden er Uzma opptatt av mote, sosialt samvær og nye opplevelser.
Tannlege Jasdeep Ohri: Norges beste tannlege med innovativ tilnærming
Jasdeep er vår mest erfarne og anerkjente tannlege. Jasdeep gjennomførte sine grunnleggende tannlegestudier i Oslo men i senere tid reist mye til USA for å øke sin faglige kompetanse. Jasdeep er blitt sitert som en av de beste tannlegene i Norge, noe som skyldes hans evne til å integrere ny og innovativ teknologi i sitt arbeid samtidig som han klarer å vise pasienter den omsorg og trygghet de trenger.
Hvorfor velge Kolbotn Tannklinikk for retainertråd og retainerskinne?
Priser på retainertråd og retainerskinne – Konkurransedyktige og transparente
Pris på behandlingen vil variere ut ifra valgt løsning, behandlerkompetanse (kunnskap/erfaring) og tidsbruk. I tillegg kan det være behov for forberedende behandling og andre tiltak som vil koste ekstra, eksempelvis forundersøkelse/kartlegging, røntgenbilde, fotobilder, etterkontroll/oppfølging og mer.
Våre Junior tannleger vil kunne tilby deg den rimeligste prisen, men behandling vil kunne ta lengre tid.
-
Har ikke pris xxxx
Studentabatt
I tillegg tilbyr vi 15% studentrabatt.
Økonomisk hjelp
Helfo støtte
Ved enkelte diagnoser vil Helfo dekker deler av behandlingen og prisen derfor reduseres.
Delbetalingsordning
Vi tilbyr delbetaling via Resursbank. Les mer om dette her.
Vår prisliste
For mer informasjon om våre priser, se vår prisliste.
Før- og etterbilder – Resultater fra retainerbehandling


Flere bilder
Hvorfor Kolbotn Tannklinikk er best på retainerbehandling
⭐ 5/5-stjerners anmeldelser – pasientenes førstevalg
Over 415 pasienter har gitt oss toppscore på Google, Facebook og Legelisten. Vi får spesielt skryt for grundig oppfølging og skånsom behandling etter tannregulering.
Laveste pris i Kolbotn og Follo – kvalitet som alle har råd til
Vi tilbyr de mest konkurransedyktige prisene på retainertråd og retainerskinne, enten du velger junior- eller seniortannlege. I tillegg gir vi 15 % studentrabatt og hjelper med å finne den mest kostnadseffektive løsningen.
Kveldsåpent – behandling som passer inn i din hverdag
Vi holder åpent til kl. 19 flere dager i uken, slik at du kan få tilpasset eller oppdatert din retainer uten å måtte ta fri fra jobb.
Over 12 års erfaring med korttidstannregulering og etterbehandling
Vi startet med korttidstannregulering allerede i 2012 og har utviklet solide rutiner for etterbehandling med retainertråd og retainerskinne, slik at resultatene dine varer livet ut.
Komfort i #TannSpa-omgivelser – en behagelig behandlingsopplevelse
Vi legger stor vekt på at både reguleringsbehandling og etterbehandling foregår i rolige, behagelige omgivelser. Atmosfæren vår gir en mer avslappende opplevelse – også for de som vanligvis gruer seg til tannbehandling.
Velg mellom 3 forskjellige systemer
Allerede i 2012 begynte klinikken å tilby korttidsregulering og har jobbet aktivt med dette i alle år. Vi tilbyr i dag flere forskjellige systemer som sammen dekker et stort tilbud innenfor korttidstannregulering. Alle systemer har sine fortrinn og ulemper. Sammen skal vi klare å finne det systemet som passer deg og dine tenner best.
Tannklinikk med spafølelse: Beroligende omgivelser under tannbehandlingen
Korttidstannregulering tar lang tid og innebærer flere besøk. Da synes vi det er ekstra greit at omgivelsene står til. Det er ikke uten grunn at Kolbotn Tannklinikk har fått sin hashtag – #tannspa. Vi har nemlig jobbet med det lille ekstra for at du får en behageligere opplevelse fra øyeblikket du kommer til oss, og til du forlater oss.
Relaterte behandlinger – Fra tannbleking til estetisk oppbygging
Ofte stilte spørsmål om retainerløsninger
Hvordan kan jeg bruke tanntråd hvis jeg har en streng bak tennene?
For å rense mellom tennene når du har en streng bak dem, kan du ikke bruke tanntråd på vanlig måte ved å dra den opp mellom tennene. I stedet må du føre tanntråden under strengen, enten fra tungen eller kinnsiden, for å få den på plass. En type tanntråd som er laget for dette heter Superfloss, og du finner den på apoteket.
Hvor lenge må man ha en streng bak tennene?
Når man er ferdig med reguleringen, må man bruke en gom hele tiden i rundt seks måneder, og deretter bare om natten i to år. Strengen som festes bak tennene kan ofte fjernes etter noen år. Hvis du er usikker på hvor lenge du må ha den, er det lurt å spørre kjeveortopeden din.
Hvor lenge må jeg bruke retainer?
Det er lurt å bruke retaineren så lenge som mulig, men minst i fire år. Den hjelper tennene med å holde seg på plass etter regulering. Tennene beveger seg naturlig gjennom hele livet, og uten retainer kan de skifte tilbake til sin gamle posisjon.
Hvor lang tid tar det å få regulering?
Hvis du skal få regulering med både braketter og strenger på både oppe og nede samtidig, tar det vanligvis rundt en time. Noen ganger må man trekke en eller to tenner før man kan sette på reguleringen
Er det mulig å ta MR hvis man har regulering?
Ja, du kan ta MR selv om du har regulering, stifttenner eller broer – det vil ikke påvirke undersøkelsen. Du kan også spise og drikke som vanlig før MR-en, bortsett fra noen spesielle undersøkelser av magen, men da vil du få beskjed på forhånd. Hvis du bruker medisiner, skal du ta dem som vanlig.
Mer informasjon om retainertråd og retainerskinne – Faglige kilder
- Skullerud Tannlegesenter
https://www.skullerudtannlegesenter.no/behandlinger/retainertrad-og-retainer-skinne - Invisalign (Vivera)
https://www.invisalign.com/vivera-retainers - Healthline
https://www.healthline.com/health/permanent-retainer#takeaway - Wikipedia
https://en.wikipedia.org/wiki/Retainer_(orthodontics) - WebMD
https://www.webmd.com/oral-health/what-to-know-about-permanent-retainers